医图在手

由 medjpg 创建于 2026-03-24

查看图片需登陆
实时分享互动的医学空间

骨肉瘤 颅内表皮样囊肿 尤文氏肉瘤 转子间骨折 tillaux骨折 环状混合痔 内科 masquelet 肌无力 骶椎病变 肺栓塞 逆行髓内钉 锁骨钩 滑膜瘤 椎体成型 AOSD VenusA-Plus 心率 生存指南 脑膜瘤 跟骨病变 腰大肌脓肿 桡骨 髋关节置换 口腔牙齿 骨性关节炎 神经瘤 外科 肩锁关节脱位 夏季损伤 喙肱中韧带前盂唇 肱骨髁上 呼吸和肺 切口情况 间歇性胸痛 肌肉骨骼 骨肿瘤感染 儿科 Von Hippel-Lindau 椎间孔镜 嗜酸性肉芽肿 再骨折 股骨颈 肿瘤 测试 踝关节肿瘤 肱骨近端 石骨症 肘关节 CT扫描和癌症 椎体终板炎的分型分级、诊断、治疗策略! 髂骨肿瘤 跟骨单房性巨细胞瘤 腰背痛:不开检查医生就不会看病了吗? 跟骨脂肪瘤 死亡率近乎 100% 的破伤风,预防和治疗都不能马虎! 皮肌炎 舟骨 跖跗关节 皮肤 尺骨鹰嘴骨折 股骨髓内钉 骨肿瘤 ube Hillsachs 骨骺滑脱 髌骨 软骨肉瘤 颅脑肿瘤 全髋关节置换 膝关节 右侧髂骨膨胀性骨质破坏,边缘有硬化,骨皮质不完整,有骨膜反应,可见边缘不清、形态不规则钙化、骨化影。考虑嗜酸性肉芽肿可能。 跟骨 tfcc 脑血肿 植入芯片 硬膜撕裂 拍照 纤维肉瘤 跟骨空心钉 腰椎间盘突出 软骨母细胞瘤 神经内科 腰椎 心胸循环 神经鞘瘤 hill sachs 可调外架 尺桡骨 腰椎滑脱 结节性硬化病 susac综合征 银屑病性关节炎 钢铁侠 骨生长障碍线 器官捐献 崴脚了为什么要外固定?因为...... 椎管内肿瘤 肌腱止点 医学科普 类风湿性关节炎 脑出血 跟骨囊肿 法洛四联症 医学图片 妇产科 强直性脊柱炎 桡骨远端板反上 深度电极 骨样骨瘤 第一腕掌关节成型 皮片 跟骨动脉瘤样骨囊肿 胃肠 弹性髓内钉 颅脑 肩关节置换术后 股骨转子间 脊柱 自我推销 外翻膝tka 内生骨软骨瘤 三踝 医疗创新 胫骨平台 少年高血压

最新文章

转发-儿童发育性腰椎滑脱
查看图片需登陆

转发徐博士的一例儿童发育性腰椎滑脱腰骶固定。 ...

由 medjpg 发表于 2026-04-16 17:03

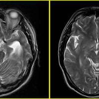
发现颅内占位5天,脑膜瘤?
查看图片需登陆

发现颅内占位5天,脑膜瘤?...

由 medjpg 发表于 2026-03-24 22:32

夏季损伤,注意看这几个案例。1.晒伤。2
查看图片需登陆

夏季损伤,注意看这几个案例。1.晒伤。2.不明皮疹。...

由 medjpg 发表于 2026-03-24 22:32

这无疑是一种独特的心率。
查看图片需登陆

这无疑是一种独特的心率。...

由 medjpg 发表于 2026-03-24 22:32

髂骨肿瘤
查看图片需登陆

髂骨肿瘤...

由 medjpg 发表于 2026-03-24 22:32

从器官捐献者身上取出的13块椎体用于骨髓
查看图片需登陆

从器官捐献者身上取出的13块椎体用于骨髓,如果放大,您可以看到脊髓的完美横截面...

由 medjpg 发表于 2026-03-24 22:32

一名患者因摔伤肘部至医院就诊,接下来的治
查看图片需登陆

一名患者因摔伤肘部至医院就诊,接下来的治疗是什么?...

由 medjpg 发表于 2026-03-24 22:32

肩关节前脱位伴明显的Hill Sachs
查看图片需登陆

肩关节前脱位伴明显的Hill Sachs....

由 medjpg 发表于 2026-03-24 22:32

椎管减压时的硬膜撕裂。您如何处理这些并发
查看图片需登陆

椎管减压时的硬膜撕裂。您如何处理这些并发症...

由 medjpg 发表于 2026-03-24 22:32